Custom Cursor

네이버예약

카카오문의

블로그

유튜브

오시는길

심미치료 센

365 DENTAL CLINIC
365 DENTAL CLINIC
365 DENTAL CLINIC
365 DENTAL CLINIC
365 DENTAL CLINIC
365 DENTAL CLINIC
365 DENTAL CLINIC

연예인 라미네이트와 동일한 재료와 제작방식,

연예인 라미네이트와 동일한 재료와 제작방식,

그리고 뒷면까지 투명하게 공개합니다.

그리고 뒷면까지 투명하게 공개합니다.

피부 관리 이미지

0.01mm 완벽한 자연미

치아는 그대로, 미소만 예쁘게

365향남 심미치료의 기준은
건강한 치아를 최대한 그대로 남기는 것입니다.
본래 치아의 질감은 살리고
색과 형태만 자연스럽게 정리합니다.

치아를 깎지 않고 얻는

완벽한 미소의 비밀은 '투명함'

완성된 앞모습만 보여주지 않고,
어떤 재료를 쓰는지 어떻게 만드는지,
치아에 붙기 전 라미네이트의 뒷면까지
숨김 없이 그대로 공개합니다.

시술 이미지

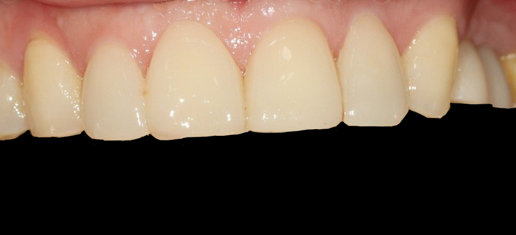
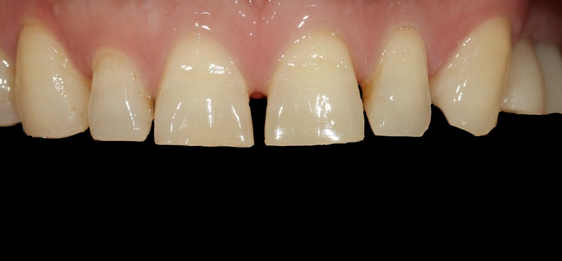
무삭제 라미네이트란?

무삭제 라미네이트는

치아를 전혀 삭제하지 않고 0.01mm
초박막 세라믹을 부착하는 시술입니다.
통증 없이 빠르게, 자연 치아를 그대로 보존하면서
자연스럽고 완벽한 미소를 완성할 수 있습니다.

드디어 웃을 수 있게 되었습니다

진을 좌우로 드래그하여 시술 전후를 비교해보세요

Before
BEFORE
After
AFTER
365
Before
BEFORE
After
AFTER
365
Before
BEFORE
After
AFTER
365

이런 고민이 있다면,

무삭제 라미네이트를 확인해보세요.

커피, 흡연으로 치아가 누렇게 변색된 경우

벌어진 앞니로 인해 고민이 있는 경우

작거나 삐뚤삐뚤한 치아를 개선하고 싶은 경우

깨진 치아를 자연스럽게 복원하고 싶은 경우

전속 기공사가 상주하는 라미네이트

치과 안에서 바로 제작되는,

한층 더 완벽한 치아 맞춤 솔루션


내 치아 색·형태·웃을 때의 미소선을 

함께 보며 기공사와 의료진이 직접 소통해

얼굴에 가장 잘 어울리는 디자인을 찾아드립니다.


속 공사가 상하는 라미네이트
 
치과 안에서 바로 제작되는, 

한층 더 완벽한 치아 맞춤 솔루션


내 치아 색•형태•웃을 때의 미소선을 

함께 보며 기공사와 의료진이 직접 소통해 얼굴에 

가장 잘 어울리는 디자인을 찾아드립니다.


나도 무삭제로 가능할까?



"무조건 무삭제만 권하지 않습니다" 

정밀 검진 후 상태에 따라 사전 치료 후 

최적의 방법을 제안합니다.  




상담 예약하기


치아 표면정리

필요한 부분만 최소한으로 정리하여 세라믹의

접착력을 높이고 장기적인 유지를 가능하게 합니다.

치아 표면이 거칠거나 요철이 있을 때
치아 간격이 불규칙할 때
치아 각도가 라미네이트 부착에 적합하지 않을 때

잇몸정리

불규칙한 잇몸선은 라미네이트와 잇몸 사이 틈을 만들어

음식물 잔류와 세균 침투의 원인이 됩니다.

웃을 때 잇몸이 과도하게 보일 때
좌우 잇몸 높이가 달라 불균형할 때
잇몸이 치아를 과도하게 덮고 있을 때
99% 만족도의 비밀

앞에서 예쁘고,

안쪽까지 건강하게

나에게 꼭 맞는

1:1 라미네이트

서울 강남 수준의 퀄리티,

향남에서 경험하세요

치아 손상 없이

색상·형태·배열을

자연스럽게 개선합니다

치아 표면정리

필요한 부분만 최소한으로 정리하여 세라믹의 

접착력을 높이고 장기적인 유지를 가능하게 합니다.

치아 표면이 거칠거나 요철이 있을 때
치아 간격이 불규칙할 때
치아 각도가 라미네이트 부착에 적합하지 않을 때

잇몸정리

불규칙한 잇몸선은 라미네이트와 잇몸 사이 틈을 만들어 

음식물 잔류와 세균 침투의 원인이 됩니다. 

웃을 때 잇몸이 과도하게 보일 때
좌우 잇몸 높이가 달라 불균형할 때
잇몸이 치아를 과도하게 덮고 있을 때
99% 만족도의 비밀

앞에서 예쁘고,

안쪽까지 건강하게

나에게 꼭 맞는

1:1 라미네이트

서울 강남 수준의 퀄리티,

향남에서 경험하세요

치아 손상 없이

색상·형태·배열을

자연스럽게 개선합니다

365 무삭제 라미네이트 치료 단계

초진 상담

정밀 구강 검진과
환자 맞춤 치료 계획

3D 스캔

디지털 장비로
치아 형태 정밀 측정

셰이드 선택

자연스러운 색상
맞춤 설계

라미네이트 제작

고품질 세라믹으로
얇은 라미네이트 제작

부착 및 마무리

특수 접착제로 부착 후
최종 조정

365 무삭제 라미네이트 치료 단계

초진 상담

정밀 구강 검진과
환자 맞춤 치료 계획

3D 스캔

디지털 장비로
치아 형태 정밀 측정

셰이드 선택

자연스러운 색상
맞춤 설계

라미네이트 제작

고품질 세라믹으로
얇은 라미네이트 제작

부착 및 마무리

특수 접착제로 부착 후
최종 조정

자신있는 미소,

365향남에서 시작하세요!

YOUR PERFECT SMILE

자신있는 미소,

향남에서 시작하세요

아름다운 미소

BEAUTIFUL

CONFIDENT

YOUR PERFECT SMILE

AESTHETIC CENTER

영상으로 확인하는

365향남의 라미네이트

영상 1
영상 2
영상 3
mobile background

당신의 미소를 가장 잘 아는 곳,

자연스럽고 고급스러운 심미치료로 새로운 

자신감을 선물합니다.

간편예약·상담
영상 1
영상 2
영상 3
mobile background

당신의 미소를 가장 잘 아는 곳,
 자연스럽고 고급스러운
 심미치 새로운 자신감을 선물합니다. 

간편예약·상담

경기 화성시 향남읍 발안양감로 187 센트럴프라자 3층

향남2지구 스타벅스, 올리브영 건물

센트럴프라자 지하1층 · 지하2층 주차장 이용가능

대표전화

031.351.1100

진료시간  

월/화/수/목/금

토 · 일 · 공휴일

점심시간

저녁시간 

오전 10시-오후 9시

오전 10시-오후 5시

오후1시 -오후2시

오후5시-오후 6시




대표자: 김수걸 

사업자번호: 601-21-62177 

문의: 031.352.1100

주소: 경기 화성시 향남읍 발안양감로 187 센트럴프라자 3층


© 2025 365향남플란트치과의원.